DIAGNÓSTICO POR IMAGEN
Neumotórax espontáneo en paciente con esclerosis tuberosa
Spontaneous pneumothorax in a patient with tuberous sclerosis tuberous sclerosis
Dr. Felipe Rodríguez Maya 1; Dr. Esteban Rodríguez Jaramillo 1
- Centro de Diagnóstico por Imagen, Hospital Clínica “San Agustín”, Loja–Ecuador
Fecha recepción: 06-06-2022
Fecha aceptación: 04-08-2022
Fecha publicación: 23-08-2022
DOI: 10.65183/revind.e5.07
Resumen
Paciente femenino de 27 años de edad con antecedentes de complejo esclerosis tuberosa (ET)–Linfangioleiomiomatosis (LAM), con rasgos leves de angiofibroma facial, nefrectomía izquierda hace 10 años, por angiomiolipoma renal gigante y patología pulmonar conocida: LAM.
Presenta cuadro abrupto de dolor torácico asociado a disnea severa, de cuatro horas de evolución. Al evaluarla, muestra taquipnea y ausencia de murmullo vesicular pulmonar derecho. Su nivel de saturación de oxígeno inicialmente fue de 45% y respuesta moderadamente adecuada a la administración de O2 con elevación de su saturación a 80%, con la administración de dosis máximas de O2 a 15 litros/min. No tolera la posición en decúbito supino, por lo que es imposible efectuar una tomografía computarizada (TC); se realiza, por tanto, una radiografía del tórax anteroposterior que confirma la sospecha clínica y muestra un neumotórax derecho a tensión con colapso del pulmón y lateralización del mediastino hacia la izquierda (Fig. 1). Se realiza toracotomía cerrada derecha que mejora la sintomatología, lográndose una expansión pulmonar inicial del 70% (Fig. 2).

Figura 1.- Neumotórax que muestra la separación entre la pleura visceral y la parietal derecha (flecha blanca), sin llegar al colapso total. Ambos pulmones presentan un extenso patrón retículo-nodular y en “panal de abejas”.

Figura 2.- Neumotórax espontáneo derecho (flechas blancas) parcialmente resuelto tras la colocación de un tubo de toracotomía a los 20 minutos de su ingreso, que evidencia adicionalmente bulla/neumotórax tabicado izquierdo asociado (flechas amarillas) y múltiples lesiones quísticas pulmonares bilaterales (estrella).
La paciente fue hospitalizada, alcanzándose resolución completa de los síntomas que determinaron su ingreso. Los estudios de extensión con métodos de imagen realizados posteriormente denotan varias características de la patología de base ET-LAM (Fig. 3, 4, 5, 6 y 7).

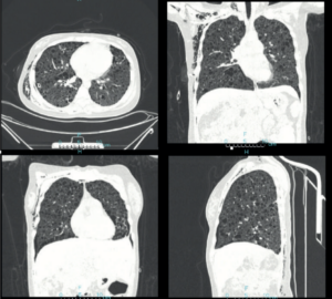
Figura 3.- TC de tórax de control a los 8 días del evento inicial en el que se observa resolución completa del neumotórax derecho y se demuestra una enfermedad quística pulmonar bilateral de pared fina, con distribución simétrica en el parénquima, compatible con linfangioleiomiomatosis. Existe resolución espontánea y completa de las bullas gigantes pulmonares izquierdas. Es evidente el enfisema subcutáneo en la pared torácica lateral derecha y cuello.

Figura 4.- La reconstrucción tridimensional muestra la presencia de múltiples lesiones quísticas distribuidas en los dos pulmones.

Figura 5.- Corte axial de TC de abdomen sin contraste IV, muestra el riñón derecho marcadamente incrementado de tamaño, ocupando gran parte del retroperitoneo, con su parénquima repleto de múltiples lesiones heterogéneas con densidad de tejido graso y sólido, compatible con angiomiolipoma. El riñón izquierdo fue extirpado años antes. Adicionalmente, focos redondeados de implantes grasos en el hígado.

Figura 6.- La ecografía abdominal en un corte axial muestra una masa de gran tamaño, mal definida, dado su abundante contenido graso que ha reemplazado al riñón. Varias imágenes ecogénicas son visibles en el parénquima hepático por depósitos nodulares grasos. Presencia de líneas B que se proyectan por detrás del diafragma, dada la patología pulmonar descrita.

Figura 7.- Imágenes axiales de tomografía computarizada sin contraste, que muestran varios nódulos subependimarios calcificados, que es la característica más ampliamente reconocida de la esclerosis tuberosa y se hallan presentes en la mayoría de los casos
El complejo esclerosis tuberosa (ET)–Linfangioleiomiomatosis (LAM) es un trastorno neurocutáneo autosómico dominante raro, multisistémico. Se caracteriza por la presencia de tumores hamartomatosos benignos en pulmones, cerebro, riñones, piel, corazón y otros órganos. Esta enfermedad se conoce también como enfermedad de Pringle Bourneville y es una facomatosis con manifestaciones clínicas muy variables.
Se sabe que se debe a la mutación de genes específicos que codifican dos proteínas, ambas supresoras de tumores, se ubican en los cromosomas 9q y 16p, respectivamente.
Existen criterios diagnósticos primarios, secundarios y terciarios para su diagnóstico.
Tabla 2.- Criterios Diagnósticos para la Esclerosis Tuberosa

La mayoría de las veces, como en el presente caso, es diagnosticada en la niñez. El diagnóstico en pacientes adultos se realiza generalmente por falla renal y alteraciones pulmonares o dermatológicas.
Una de las complicaciones, poco frecuentes, es el neumotórax espontáneo, como en el caso que presentamos, y que debe ser manejado multidisciplinariamente. La fisiopatología de la regresión espontánea de las bullas o ampollas gigantes habitualmente observadas en esta patología no está suficientemente comprendida. Podría ocurrir luego de un proceso
tumoral o infeccioso que determinan inflamación y cierre de las comunicaciones entre estas y la vía respiratoria, determinando reexpansión pulmonar.
En el presente caso, la paciente no fue tratada con ningún medicamento, incluido el broncodilatador inhalatorio.
Los tratamientos propuestos para las bullas podrían ser drenaje, pleurodesis, pleurectomía, aunque estos pueden complicar el trasplante de pulmón a futuro; además, ligadura del conducto torácico o derivación pleuro-venosa. Se debería evitar el estrógeno.
Everolimus, medicamento denominado inhibidor de quinasa, o el Sirolimus, que es un fármaco inhibidor de mTOR (mammalian target of rapamycin), pueden tener un efecto beneficioso sobre la función pulmonar y la reducción del tamaño de los angiomiolipomas renales que se asocian a la LAM.
El trasplante pulmonar es la mejor opción de tratamiento para la enfermedad en período avanzado.
Cómo citar el presente artículo:
Rodríguez F, Rodríguez E. Neumotórax espontáneo en paciente con esclerosis tuberosa. Diagnóstico por imagen. Indexia. Agosto 2022.
Todos los artículos se publican bajo la licencia Creative Commons Atribución 4.0 Internacional (CC-BY 4.0), lo que permite compartir y adaptar el contenido siempre que se dé el crédito adecuado a los autores y a la revista.