REPORTE DE CASO
Fracturas del radio distal en tiempos de pandemia
Distal radius fractures in times of pandemic
Dr. José Rodríguez Maya 1; Md. José Rodríguez Romero 1
- Departamento de Ortopedia y Traumatología, Hospital Clínica San Agustín
Palabras Clave: Fracturas radio distal, clavos percutáneos, coronavirus COVID-19.
Keywords: Distal radius fractures, percutaneous nails, COVID-19 coronavirus.
Fecha recepción: 31-05-2021
Fecha aceptación: 17-07-2021
Fecha publicación: 20-08-2021
DOI: 10.65183/revind.e2.01
Resumen
En los últimos meses (desde marzo del 2.020), debido a la pandemia de coronavirus COVID-19 y consecuente confinamiento, se incrementaron los accidentes caseros y entre estos las caídas con fracturas del radio distal. El no conocer con exactitud el comportamiento de la enfermedad respiratoria, tanto en la evolución como en el contagio, y el temor de las personas a permanecer hospitalizadas hizo que ampliemos las indicaciones del uso de la reducción incruenta y fijación con clavos percutáneos para tratar fracturas del radio distal, como un procedimiento menos invasivo y de menor tiempo de hospitalización.
Los tratamientos para fracturas del radio distal son variados, considerando fundamentalmente edad, calidad ósea, tipo de fractura y estabilidad de esta. Los podríamos resumir en reducción e inmovilización externa, reducción y fijación con clavos incluidos en el yeso, reducción y fijación externa con distintos sistemas, reducción incruenta y fijación con clavos percutáneos más yeso, reducción abierta y fijación interna con una gran variedad de placas e implantes inclusive, en algunos casos, asistida por artroscopia.
Presentamos un estudio retrospectivo de 32 casos de fractura de radio distal, que fueron tratados mediante reducción incruenta y fijación percutánea con clavos de Kirschner durante la época de pandemia de coronavirus COVID 19, realizado en el Hospital Clínica San Agustín de la ciudad de Loja.
Abstract
In recent months (since March 2020), due to the COVID-19 coronavirus pandemic and consequent confinement, home accidents have increased, including falls with fractures of the distal radius. Not knowing exactly the behavior of the respiratory disease, both in its evolution and in the contagion and the fear of people to remain hospitalized led us to expand the indications for the use of bloodless reduction and fixation with percutaneous nails to treat distal radius fractures, as a less invasive procedure and shorter hospitalization time.
Treatments for distal radius fractures are varied, mainly considering age, bone quality, type of fracture, and its stability. We could summarize them in reduction and external immobilization, reduction and fixation with nails included in the plaster, reduction and external fixation with different systems, non-invasive reduction and fixation with percutaneous nails plus plaster, open reduction and internal fixation with a wide variety of plates and implants, even in some cases assisted by arthroscopy.
We present a retrospective study of 32 cases of distal radius fracture that were treated by bloodless reduction and percutaneous fixation with Kirschner nails during the COVID-19 coronavirus pandemic, carried out at the Hospital Clínica San Agustín in the city of Loja.
Introducción
Las fracturas del extremo distal del radio son de las más comunes del esqueleto humano1, representan del 8 al 15% de fracturas del esqueleto y un 74 % de fracturas del antebrazo2. Es cuatro a cinco veces más frecuente en mujeres que en varones, aumenta en la mujer entre los 40 a 65 años, la mayoría afectadas por osteoporosis, mientras que en el varón su incidencia se mantiene constante a lo largo de la vida.14
Durante largos periodos de tiempo se trataron de forma conservadora con reducción incruenta e inmovilización con yeso, pero los resultados no eran los mejores.
El tratamiento con reducción y fijación con clavos fue descrito hace más de un siglo, teniendo múltiples alternativas de la forma como realizarla. Entre los autores que consideramos que han tenido más relevancia están Albin Lambotte, quien en el año 1908 realizó la fijación a través de la estiloides radial; Lorenz Böhler, en 1923, incluyó los clavos en una inmovilización con yeso; en 1944 Anderson y O’Neil introdujeron los fijadores externos tratando de evitar el colapso radial; Antony De Palma, en 1952, reportó la reducción y fijación usando un equipo de tracción para los dedos y fijando el radio con clavos que también fijan el cúbito. En la década de 1970, Adalbert Kapandji introduce el concepto de fijación con los clavos intrafocales en la zona de fractura con gran auge. En esa misma década, Stein y Katz, Uhl, Rayhack y otros describen diferentes formas de fijación hasta llegar actualmente a la fijación asistida por artroscopia.
Existen algunos factores que influyen en su tratamiento, como, por ejemplo:
• El patrón de fractura y la energía del traumatismo (conminución dorsal, fractura intraarticular y fractura asociada del cúbito).
• La severidad del desplazamiento inicial (angulación dorsal > 20° y pérdida de altura radial > 5 mm).
• Factores inherentes al paciente (edad > 60 años y calidad ósea) 6,7, el estado de las partes blandas, la demanda física y asociarlo al estilo de vida de la persona.
• El costo del tratamiento es bastante menor usando clavos percutáneos si lo comparamos con las placas volares bloqueadas, siendo un factor a considerar y analizar con el paciente.
El objetivo de este estudio es analizar los resultados funcionales y radiológicos en los pacientes que presentaron fractura del radio distal durante un periodo de pandemia de COVID-19, tratados con reducción cerrada y fijación con clavos percutáneos donde consideramos que, al ser su tratamiento ambulatorio y tener menos contacto con personas, el riesgo de un probable contagio con el virus es menor.
Materiales y Métodos
Durante el periodo comprendido entre marzo del 2020 y febrero del 2021, fueron intervenidos quirúrgicamente, mediante reducción cerrada y fijación interna percutánea con clavos de Kirschner, 32 pacientes que presentaron fractura de radio distal tipo I y III de la clasificación de Fernández, a excepción del tipo III con fragmentos articulares impactados. Se realizaron radiografías anteroposterior y lateral de la muñeca, exámenes de sangre prequirúrgicos de rutina y pruebas para coronavirus COVID 19. En algunos casos de fracturas con compromiso articular, se hizo tomografía axial computarizada.
En el período inicial, al no contar con pruebas de hisopado y/o antígeno, se realizaron pruebas rápidas de anticuerpos IgG e IgM para coronavirus COVID-19, se mantenían protocolos de seguridad con anamnesis al paciente por probable contacto con personas contagiadas, que hubieran presentado tos, fiebre o malestar general. El personal de emergencia contó con medidas de bioseguridad (mascarilla full fase N95 con filtro, guantes y ropa descartable, así como la aplicación de alcohol etílico al 96% en spray). Posteriormente cuando la Institución ya dispuso de las pruebas de hisopado a 4 pacientes que habían tenido contacto con pacientes COVID 19 positivos, se realizó dicha prueba resultando en todos negativa.
El procedimiento consistió en asepsia y antisepsia desde el codo hasta los dedos de la extremidad afectada con solución isotónica de cloruro de sodio y clorhexidina, secado y aplicación de solución de yodo povidona. En caso de ser con anestesia local, se inyectó 2.0ml. de Lidocaína al 1% y 2.0ml. de Bupivacaína al 1% en el foco de fractura, 4 a 6 ml de la misma dilución en la piel del área dorso radial, iniciando desde la articulación radio carpiana a proximal (donde se presumía se colocaría los clavos). Luego de 10 minutos se realizó reducción manual con desimpactación de los fragmentos, tracción longitudinal, flexión y pronación de muñeca, y, finalmente, desviación cubital.
Más adelante, se controló con intensificador de imágenes que la reducción lograda cumpla los criterios de una “reducción deseable” (fig. 1)
• Índice sagital: 0 – 20º
• Pérdida de altura radial < 2mm
• Varianza ulnar < 2mm
• Escalón articular < 2 mm

Fig.1
Logrado esto, se colocó un clavo de Kirschner de 1.8mm de dorsal a palmar y radial a cubital intrafocal en la región dorso radial de la fractura, que pase la cortical opuesta. Otro clavo de iguales características que atravesó desde la estiloides radial al lado medial bicortical.
En caso de fracturas con varios factores de inestabilidad, se fijó con un tercer y/o cuarto clavo, procurando que sea intrafocal inicial o bicortical desde dorsal medial a palmar lateral. En los casos que presentaba inestabilidad radio cubital distal, se asoció un clavo desde le epífisis distal del cúbito a la del radio comprobando nuevamente con intensificador de imágenes.
Para evitar la migración de los clavos, se doblaron sus extremos y se cortaron a un centímetro cuidando no lastimar la piel, se colocaron gasas para protegerlos, venda de algodón y, finalmente, una férula de yeso tipo “pinza de azúcar” que permita la flexión de las articulaciones metacarpo falángicas y del pulgar.
Se le pidió al paciente en el postoperatorio inmediato mover los dedos a nivel inter y metacarpo falángico, respectivamente, se comprobó que la temperatura, sensibilidad y llenado capilar de los dedos sea adecuado. El paciente permaneció en recuperación anestésica hasta que autorice el médico anestesiólogo (2 horas promedio).
Se realizó control clínico y radiográfico a la semana, incentivándolos a que muevan los dedos, que hagan la flexión y extensión del codo, que permitiera la pinza de azúcar, y elevar el brazo varias veces al día. En la quinta semana del procedimiento, otro control clínico y radiográfico, retirando los clavos en consulta externa sin anestecia y se mantuvo un segmento dorsal de la férula desde la base de los dedos hasta 5 cm debajo de la punta del olécranon por una a dos semanas más, para que permita realizar flexión y extensión completa del codo e inicie movimientos de pronación y supinación del antebrazo.
Resultados
El promedio de edad de los pacientes fue de 55 años (rango de 18 a 74 años), con predominio del lado derecho en un 75% y una relación 3 a 1 a favor del sexo femenino.
En cuatro casos se realizó tomografía axial computarizada de muñeca para mayor definición del trazo articular de la fractura.
Según la clasificación de Fernández, 81,25%, fueron tipo I y 18.75% tipo III (excluyendo aquellas que tenían un fragmento intraarticular impactado), la reducción y fijación se realizó en promedio a las dos horas del ingreso a emergencia (rango de 1 hora 45 minutos a 3 horas 20 minutos), con excepción de aquellos pacientes que se realizaron el hisopado que fueron inmovilizados con férula de yeso e intervenidos al día siguiente, teniendo ya el resultado, y que fue negativo en todos.
Veinte y dos pacientes se realizaron con anestesia general y diez con anestesia local.
El tiempo promedio transcurrido desde que se inicia la asepsia hasta que se termina de colocar el yeso fue de 18 minutos (rango de 10 a 22 minutos).
No se debió reintervenir ningún paciente por pérdida de la “reducción deseable” en la radiografía de control a la semana de la intervención, sin embargo, en 6 casos, en el control de la semana 5, se apreció una pequeña pérdida de la altura radial y en dos el índice sagital con 5 grados de inclinación dorsal, sin repercusión clínica.
Dos casos presentaron dolor a la cuarta semana, en el sitio de introducción de un clavo con infección superficial, en donde se retiró el clavo comprometido y se indicó Cefalexina 500 mg cada 6 horas por vía oral durante 5 días.
No se presentaron infecciones profundas en el estudio.
A los 3 meses, seis casos mostraron una pequeña disminución de la altura radial y tres, en el índice sagital, en la radiografía de control que no repercutió funcional o estéticamente.
Todas las fracturas consolidaron, se indicó un programa de movilización de flexo extensión y pronosupinación en casa y solo cuatro casos necesitaron apoyo de fisiatría hasta recuperar un rango de movilidad y funcional óptimo (fig.6)
El 84,3% de los casos estaban reintegrados a sus actividades previas en el control de los tres meses sin molestias, los restantes tenían dolor en los últimos grados de flexión máxima dorsal o palmar o al realizar esfuerzo de pronosupinación, teniendo que considerar que el resultado funcional definitivo en este tipo de lesiones se lo obtiene alrededor del 6to mes a partir de la lesión.
No existió ningún caso de distrofia simpática refleja.
Hasta el control de la 5ta semana, ningún paciente se había enfermado con coronavirus COVID-19 pero sí dos pacientes ya habían cursado la enfermedad al control en el tercer mes, lo que por el tiempo transcurrido indica que no la adquirieron en el Hospital.
Presentamos tres casos:
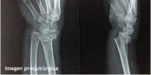
Caso 1.- Masculino de 52 años de edad con fractura de radio distal y estiloides cubital, se realizó reducción incruenta y fijación percutánea con 2 clavos de Kirschner obteniéndose una adecuada reducción y estabilidad. (fig. 2)


Caso 2.- Femenina de 64 años de edad. Un caso en el que, al control radiográfico de las cinco semanas, presentó una pérdida de la altura radial y el índice sagital, finalmente, sin ninguna repercusión clínica. (fig. 3)


Caso 3.- Masculino de 62 años de edad, con fractura de radio distal y estiloides cubital, se realizó reducción incruenta y fijación percutánea con 2 clavos de Kirschner obteniéndose una adecuada reducción y estabilidad. (fig. 4)


En todos los casos posteriores a la reducción incruenta y fijación percutánea con clavos de Kirschner, se realiza una inmovilización con valva de yeso tipo “pinza de azúcar” que permite la flexión y extensión de los dedos, así como flexión de 55° y extensión de 20° en el codo. (fig. 5)


Los resultados funcionales, a los tres meses, valoran el rango de movilidad activa, escala visual analógica del dolor (EVA). Los parámetros radiológicos son la consolidación ósea, la altura radial, la inclinación radial, la inclinación volar, la varianza ulnar y escalón articular. (fig. 5)

Discusión
Una mala reducción y consolidación de fracturas del radio distal puede acarrear a artrosis de muñeca, pérdida de fuerza, limitación funcional y dolor, razón por la cual es importante una reducción anatómica y estable para un buen resultado. La reducción anatómica no es compleja, sin embargo, debido a la inestabilidad, conminución de la cortical ósea, la osteoporosis y edad avanzada de la mayoría de los pacientes, mantener esta reducción sin una fijación estable es algo muy complejo.11
El tratamiento con placas volares bloqueadas (VLP) en las fracturas del radio distal, en las dos últimas décadas, se ha incrementado al lograr una rápida recuperación funcional. Sin embargo, en varios trabajos, los resultados a mediano y largo plazo son similares con la reducción cerrada y fijación con clavos percutáneos, especialmente en las fracturas tipo Colles.
Consideramos que el método de clavos intrafocales para fracturas de radio distal es una excelente técnica para tener en cuenta en el tratamiento de las fracturas de radio distal. Greatting y Bishop, de la clínica Mayo, obtuvieron un 79% de resultados radiológicos buenos y excelentes en menores de 65 años y un 60% en mayores de esa edad. Sus resultados clínicos fueron “excelente” y “bueno” en el 70% de los menores de 65 años y 100% en los mayores. Concluyeron que esta técnica es una excelente indicación para los pacientes ancianos en quienes, a pesar de alguna pérdida de reducción, los resultados clínicos no empeoran de manera significativa.11 Epinette y cols obtuvieron con esta técnica 84% de resultados buenos y excelentes, con un 24% de complicaciones, pero con solo 7% de dificultad clínica.12
Salem13 publicó, en 2002, una serie de 41 fracturas del extremo distal del radio tratadas con tres clavos intrafocales. Él dividió su trabajo con dos tipos de fracturas: las A2 (estables) y las A3 (inestables). Obtuvo resultados radiológicos muy buenos (84%) y buenos (16%) en las fracturas A2 y resultados muy buenos (40%), buenos (30%), regulares (10%) y malos (20%) en las fracturas A3.
La causa principal de los resultados regulares y malos fue un colapso radial mayor de 6 mm, pero manteniendo la angulación normal de la superficie articular.
En el 2008 Chin-En Chen et al publicaron un estudio prospectivo con 54 pacientes con fracturas de radio distal, tratados mediante reducción cerrada y fijación percutánea con clavos de Kirschner + inmovilización con yeso y determinaron que la altura radial promedio fue de 10,96 mm y la inclinación volar fue de 3,97 grados en las radiografías posoperatorias inmediatas. Al retirar el clavo en yeso y las agujas de Kirschner percutáneas, la altura radial promedio fue de 9,92 mm y la inclinación volar fue de 3,93 grados. Lograron la unión ósea en todos los pacientes; la tasa de satisfacción fue del 90,7%, concluyendo que la técnica es eficaz para mantener la reducción.16
Conclusiones
La reducción cerrada y fijación percutánea con clavos de Kirschner, más inmovilización con valva de yeso, es un método sencillo, económico, fácilmente reproducible, que no necesita instrumental o implantes especiales y que se puede realizar de forma ambulatoria con anestesia local o general corta con buenos resultados, para el tratamiento de las fracturas del radio distal tipo I y III según la clasificación de Fernández.
Ninguno de los pacientes atendidos por la fractura descrita fue portador o se contagió durante su permanencia en el Hospital Clínica San Agustín de la ciudad de Loja.
Referencias
- Chung KC, Watt AJ, Kotsis SV, Zvi M, Haase SC, Kim M. Treatment of unstable distal radial fractures with the volar locking plating system. J Bone Joint Surg Am. 2006;88:2687-94.
- Júpiter JB, Masern M. Reconstruction of post-traumatic deformity of distal radius and Ulna. Hand Clinics. 1988;4(3):377-390.
- Charnley J. Tratamiento incruento de las fracturas frecuentes. Buenos Aires. 1976: Editorial Médica Panamericana.
- Jupiter JB. Fractures of the distal end of the radius. J Bone Joint Surg Am. 1991;73-A:461-9. 23.
- Kapandji A. L´osteosynthese par double embrochage intra-foca: Traitement foncionnel des fractures non articulaires de l´estremeté inférieure du radius. Ann Chir. 1976;30 (11-12): 903-8.
- Cooney WP 3rd, Lindscheid R, Dobyns J. External pin fixation for unstable Colles’fracture. J Bone Joint Surg Br. 1979;61- B:840-5.
- Dias JJ, Wray CC, Jones JH. The radiological deformity of Colles’ fractures. Injury .1987;18:304-8
- Allende C, Marangoni L, Gastaudo M, Pioli I, Gastaudo M, Paganini F. Placas volares de ángulo fijo en pacientes adultos con fracturas inestables del radio distal. Rev Asoc Argent Ortop Traumatol .2007; 72:110-7.
- Clayton RAE, Gaston MS, Ralston SH, Court-Brown CM, McQueen MM.Association between decreased bone mineral density and severity of distal radial fractures. J Bone Joint Surg Am. 2009; 91:613-9. doi:10.2106/JBJS.H.00411
- Collony JF. De Palma. Tratamiento de fracturas y luxaciones. 3a ed. Buenos Aires. 1991: Editorial Médica Panamericana.
- Sanchez-Sotelo J, Munuera L, Madero R. Treatment of the fractures of the distal radius with a remodellable bone cement. J Bone Jt Surg (Br).2000; 82(6):856-863. doi:10.1302/0301-620X.82B6.0820856
- Epinette JA, Lehut JM, Cavenaile M, et al. Pouteau-Colles fracture: double-closed «basket-like» pinning according to Kapandji. Ann Chir Main. 1982; l(l):71-83. doi:10.1016/S0753-9053(82)80010-9
- SalemAF. Tratamiento quirúrgico de las fracturas de muñeca: técnica de Kapandji. Rev Asoc Argent Ortop Traumatol. 2002; 67:172-6.
- Francisco García Lira. 2011; Volumen 7, Número 1 Ene.-Mar. www.medigraphic.org.mx Aspectos epidemiológicos y mecanismos de lesión de las fracturas de muñeca
- Rosales RS, Delgado EB, Diez de la Lastra-Bosch I. Evaluation of the Spanish version of the DASH and carpal tunnel syndrome health-related quality-of-life instruments: cross-cultural adaptation process y reliability. J Hand Surg. 2002; 27-A: 334-43. doi:10.1053/jhsu.2002.31724
- Chin-En Chen, Rei-Jahn Juhn, and Jih-Yang Ko2 Hand (N Y). 2008; Sep;3(3):245-50, Treatment of Distal Radius Fractures with Percutaneous Pinning and Pin-in-plaster doi:10.1007/s11552-008-9093-3
Cómo citar el presente artículo:
Rodríguez-Maya J, Rodríguez-Romero J. Fracturas del radio distal en tiempos de pandemia. Reporte de casos. Indexia. Agosto 2021.
Todos los artículos se publican bajo la licencia Creative Commons Atribución 4.0 Internacional (CC-BY 4.0), lo que permite compartir y adaptar el contenido siempre que se dé el crédito adecuado a los autores y a la revista.