REPORTE DE CASO
Tumor Mucionoso Apendicular en Edad Adulta Mayor
Appendicular mucinous tumor in adulthood
Ruth Muñoz 1; Carlos Benavides 2; Ramiro Andrés Guerrero Iñiguez 3
- Gineco-Obstetra, Hospital Clínica San Agustín, Loja Ecuador
- Cirujano, Departamento de cirugia, Hospital Clínica San Agustín, Loja Ecuador
- Mèdico residente en el Hospital Manuel Ygnacio Monteros
Palabras Clave: Masa anexial, tumor mucinoso apendicular
Keywords: adnexal mass, appendicular mucinous tumor
Fecha recepción: 28-05-2021
Fecha aceptación: 27-07-2021
Fecha publicación: 20-08-2021
DOI: 10.65183/revind.e2.06
Resumen
Los tumores apendiculares son una patología rara, la mayoría de las veces son un hallazgo transoperatorio. Constituyen 0.4% de todos los del tracto gastrointestinal, sin embargo, la presentación como enfermedad maligna es compleja y ocasiona confusión en la descripción de la historia natural de estos, por lo que han ocurrido errores en su diagnóstico y tratamiento. Aparecen principalmente en el sexo femenino entre la tercera y cuarta década de la vida; generalmente su diagnóstico es un descubrimiento incidental anatomopatológico en el curso de una apendicitis aguda. El presente caso permite conocer y registrar la presentación en la edad adulta de un tumor apendicular benigno poco frecuente conocido como mucocele tratado en nuestro servicio.
La paciente fue de sexo femenino de 77 años de edad que acude a consulta ginecológica por dolor pélvico crónico acompañado de disuria y poliuria, se realiza eco pélvico evidenciándose masa anexial derecha de 9×6 cm de características benignas, que se comprueba con marcadores tumorales y TAC; con exámenes de laboratorio normales y la presencia sobreañadida de IVU. Se le realizó laparotomía operatoria con excerisis de masa tumoral apendicular, no fue necesario realizar otros manejos quirúrgicos aparte de la apendicectomía simple y estudio histopatológico de esta. El diagnóstico histopatológico reporta tumor mucinoso apendicular, con evolución y resolución satisfactoria del caso, dándole el alta a la paciente en buenas condiciones generales, sin complicaciones posoperatorias. El mucocele es un caso poco frecuente, más aún en la edad adulta mayor, este caso se lo pudo resolver sin complicaciones, siguiendo los criterios y protocolos para el caso, ceñidos a las buenas prácticas médicas.
Abstract
Appendicular tumors are a rare pathology, most of the time they are an intraoperative finding.
They constitute 0.4% of all those of the gastrointestinal tract, however, the presentation as a malignant disease is complex and causes confusion in the description of their natural history, for which errors have occurred in their diagnosis and treatment. They appear mainly in the female sex between the third and fourth decade of life; generally its diagnosis is an incidental pathological discovery in the course of acute appendicitis. The present case allows us to know and record the presentation in adulthood of a rare benign appendicular tumor known as a mucocele treated in our department. The patient was a 77-year-old female who attended a gynecological consultation for chronic pelvic pain accompanied by dysuria and polyuria. A pelvic echo was performed, showing a right adnexal mass of 9×6 cm with benign characteristics, which was verified with tumor markers and CT; with normal laboratory tests and the super-added presence of UTI. Operative laparotomy was performed with excerisis of the appendicular tumor mass, it was not necessary to perform other surgical procedures apart from the simple appendectomy and histopathological study of this. The histopathological diagnosis reports a mucinous appendicular tumor, with satisfactory evolution and resolution of the case, discharging the patient in good general condition, without postoperative complications. Mucocele is a rare case, especially in older adulthood, this case could be resolved without complications, following the criteria and protocols for the case, adhering to good medical practices.
Introducción
El mucocele es la acumulación de material mucinoso dentro de la luz apendicular, que puede ser causado por quistes de retención, hiperplasia mucosa, cistoadenomas y cistoadenocarcinomas. En la actualidad se aconseja usar el término tumores mucinosos para referir esta entidad. [1] [2] [3]
Entre los tumores apendiculares, las neoplasias mucinosas representan apenas el 0.2 al 0.4% de las neoformaciones, que pueden ser de bajo grado y alto grado de malignidad. Los primeros se distinguen por ausencia de destrucción arquitectural, confinación al apéndice y diseminación al peritoneo, a diferencia de los segundos que provocan destrucción masiva.
La Organización Mundial de la Salud lo clasifica en adenoma, tumoración mucinosa de bajo grado (TMBG) y adenocarcinoma.
La diferencia entre cistoadenoma y TMBG se da desde el punto de vista citológico, donde esta última presenta capacidad de diseminación en implantes peritoneales (no metástasis). [1] [4]
Puede ser un hallazgo incidental durante la exploración de otras estructuras (por ejemplo: el ovario), o presentar clínica de dolor abdominal que se acompaña de sintomatología genito-urinaria o intestinal por efecto masa, entre otros. Se utiliza en el diagnóstico técnicas de imagen como la ecografía, la tomografía y la resonancia magnética; además, se considera el uso de marcadores tumores (ACE y CA 125) para distinguir diversos procesos malignos. Se confirma con la escisión quirúrgica y el estudio histopatológico incluyendo el líquido ascítico, necesario para la confirmación de benignidad o malignidad. [2] [5] [6] [7] [8]
En el tratamiento existen distintos consensos sobre el abordaje, entre laparotomía y laparoscopia. También se considera el grado de afectación para realizar una apendicectomía en caso de pequeñas masas que no perforan ni rompen la pared apendicular vs una colectomía derecha cuando se cumplan estos criterios, además de quimioterapia intraperitoneal hipertérmica cuando se confirme malignidad. [1] [9] [10]
Objetivos
Caso clínica
Paciente de sexo femenino de 77 años de edad oriunda de Catacocha, acude a consulta ginecológica por presentar dolor pélvico crónico de casi un año de evolución, tipo urente vs cólico, acompañado de gases y llenura, además, disuria desde hace 3 días aproximadamente; y ha sido tratado solo con analgésicos, enzimas digestivas y procinéticos, lo que provoca solo periodos cortos de remisión de la sintomatalogía. Al momento presenta reagudización del cuadro desde hace 15 días, con dolor irradiado a fosa iliaca derecha y región lumbar homolateral, el cual no presenta relación con el hábito intestinal y que se acompaña además de disuria y poliuria no tratada desde hace 3 días. El único antecedente patológico personal de relevancia es hipertensión desde hace 20 años tratada con losartan.
Signos vitales: Tensión arterial 130/86 mm Hg, frecuencia cardiaca 72 latidos por minuto, frecuencia respiratoria 16 rpm, saturación 92%, temperatura 36,8 grados centígrados y peso de 65.7 kg.
Examen físico: Paciente tranquila, en buen estado general, hidratada, dolor difuso a la palpación profunda a nivel de fosa iliaca derecha con McBurney negativo, Blumberg negativo sin la detección de masas aparentes, ruidos hidroaéreos presentes, por lo demás, exploración anodina.
Exámenes de laboratorio: Biometría-hemoglobina 12.7 mg/dl, hematocrito 39%, leucocitos 13 200/mm3, granulocitos 81%, linfocitos 35%, plaquetas 247 000/mm3, antígeno carcinoembrionario menor a 2.5 ng/ml y Ca 125 menor a 35 U/ml; en el elemental microscópico de orina se visualizan bacterias +++ con presencia de piocitos.
Ecografía pélvica: Se encuentra útero no visible y presencia de masa anexial derecha de 6,7x 4,9 x 4,7, con escasa vascularización, ausencia de líquido en fondo de saco de Douglas; se complementa estudio con TAC que reporta lesión quística tubular bien definida y tabicada a nivel de ovario vs apéndice cecal de 9×6 cm aproximadamente. Se da tratamiento antibiótico para IVU, y se prepara paciente para laparotomía operatoria.
Laparotomía operatoria: Se realiza laparotomía media infraumbilical encontrándose tumoración apendicular de aproximadamente 10 cm x 6 cm, que respeta base apendicular sin adherencias a tejidos circundantes, no se evidencia plastrón ni colecciones purulentas, ausencia de líquido en fondo de saco de Douglas para estudio histopatológico, base apendicular de buena calidad, procediéndose a realizar excérisis de masa con ligadura simple a nivel de base apendicular y envío de esta para estudio histopatológico.
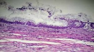
Estudio histopatológico: Macroscopía. Se recibe apéndice cecal deformada que pesa 110 g, mide 9.2x 6.1 cm en sus mayores diámetros, la serosa es de color rosado blanquecido vascularizado, al corte la consistencia es renitente, la pared es delgada de 1 mm de espesor, en el interior se observa abundante material mucoide de color blanco amarillento, la mucosa aplanada de color blanco grisáceo. Se procesa corte representativo y borde de resección quirúrgica (figura 1).
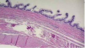
Microscopía: Se observa pared de apéndice cecal, tapizada por epitelio cilíndrico de núcleos pequeños, ovoides, regulares, de citoplasma amplio vacuolado (presencia de moco intracitoplasmático). El corion tiene áreas de fibrosis y se acompaña de escaso infiltrado linfocitario difuso (figura 2).


Figura 1.- Apéndice cecal de gran tamaño


Figura 2.- Cortes histológicos de apéndice cecal, Cortesía:
Se da el alta a la paciente luego de 2 días de hospitalización y se continúa revisión sistemática semestra
Discusión
Los tumores primarios de apéndice son poco frecuentes y determinan un desafío diagnóstico importante, pues la forma de presentación puede ser variada, es el caso de nuestra paciente, en la que se requirió investigar tanto clínica, como imagenológicamente diversas variables para llegar a un diagnóstico final. Típicamente, la determinación de este tipo de tumores no se conoce sino solamente hasta la laparotomía o luego del estudio patológico de la pieza quirúrgica.
Los tumores mucinosos del apéndice son, según el análisis de la base de datos Surveillance, Epidemiologý and End Results (SEER), los más frecuentes (13).
El mucocele apendicular es el resultado de la acumulación intraluminal de material mucoide La mayoría de los pacientes con tumor apendicular tendrá una presentación clínica compatible con apendicitis aguda, sin embargo, como en el presente caso, los pacientes con cistoadenomas mucinosos típicamente permanecen asintomáticos, debido a la distensión del apéndice por crecimiento lento (12).
Por ello el cirujano debe estar consciente de la posibilidad diagnóstica de los tumores apendiculares con los que se puede encontrar, así como determinar el tratamiento más adecuado (11).
Se recomienda que todas las masas apendiculares mucinosas de 2 cm o más se extirpen quirúrgicamente, para el cistoademona mucinoso, la apendicectomía es suficiente si la lesión no afecta la base del apéndice, en este caso fue así. Hay que tener cuidado en el momento de la cirugía, de que la tumoración no se rompa antes de la extracción por la posibilidad de diseminación mucinosa de la tumoración dentro de la cavidad abdominal.
El diagnóstico diferencial de una masa anexial o de fosa ilíaca derecha debe incluir como posibilidades etiológicas a padecimientos ováricos, apendiculares e intestinales, en nuestro caso, ante la negatividad de los marcadores tumorales y las características benignas en imagen, se pudo enfocar mejor el diagnóstico en el que la laparotomía concluyó con el manejo adecuado de dicha patología.
El cistoadenoma mucinoso apendicular es causado por la acumulación de mucina dentro de la luz apendicular de manera aguda o crónica, que produce un cuadro abdominal agudo similar a la apendicitis aguda o sintomatología variada dependiendo de la causa de acumulación de mucina en las variantes crónicas. Anisa et al., en su artículo “Tumores mucinosos del apéndice”, hace hincapié en la búsqueda de neoplasias sincrónicas o metacrónicas de colón por su asociación, juntamente con los marcadores tumorales para descartar procesos malignos. Zuluaga et all recomienda la colonoscopia en búsqueda del signo del volcán (signo patognomónico) para la confirmación del diagnóstico. [2] [3]

Aninsa et all, así como Zuluaga et all, presentan distintas clasificaciones para estas tumoraciones en sus artículos, siendo la de la OMS la mayormente aceptada (tabla 1). [2] [3]
En la selección del método quirúrgico, se abren distintos escenarios y opiniones. Pilco et al., en su estudio de casos, insiste en individualizar cada caso para su tratamiento. En cambio, León et al. apoya el uso laparoscópico para la resolución de los cuadros. Existen más series de casos que apoyan la resolución por cirugía abierta para evitar la ruptura del tumor. Se aconseja que sea la experticia del cirujano la que escoja entre laparotomía o laparoscopia. [10] [1]
Conclusión
El manejo de la tumoración apendicular requiere un algoritmo terapéutico oportuno y eficiente. En nuestro caso, una paciente con sintomatología inespecífica y adulta mayor, el diagnóstico impuso un desafío en el que debimos ampliar las posibilidades en cuanto al diagnóstico diferencial con inclusión de marcadores tumorales y pruebas de imagen para llegar a un diagnóstico específico, y tratarle como equipo interdisciplinario entre cirugía, ginecología y patología y dar el tratamiento óptimo para la resolución eficaz de la patología.
El estudio y tratamiento brindado a la paciente finalizó con la recuperación total del estado de salud de la paciente.
Referencias
- Brunicardi C, Andersen D, Billiar T, Dunn D, Hunter J, Matthews J y R. Pollock, Schawartz, Principios de cirugía. 2011. Novena edición, México DF: McGrawHill.
- Anisa O, Marcacuzco A, Manrique A, Justo I, Calvo J, Conde M, Cambra F y Jiménez L, «Tumores mucinosos del apéndice: incidencia, diagnóstico y tratamiento quirúrgico,». 2017. ELSEVIER, pp. 321-327,
- Zuluaga A, Sarmiento J, Cock A, Uribe R, Osario L, Isaza S y Zuluaga N, «Neoplasias mucinosas del apéndice,» Revista Colombiana de Radiología. 2015. pp. 4552-4559, .
- Lorenzo F, Gutiérrez J, Espinosa Y, Fuentes J, Rodríguez A y Artieles D, «Cistoadenoma mucinoso del apéndice: un caso con presentación inusual. 2019 Revista Archivo Médico Camagüey, pp. 233-239.
- Alemán R, Catoira C y Pando R, «Cistoadenoma mucinoso del apéndice. Presentación de un caso,».2015.SCIELO, pp. 114-117.
- Gómez G, Palacios Y, Fiallos J y Pérez G, «Informe de caso clínico quirúrgico: Cistoadenoma mucinoso de ovario, Journal of Business and entrepreneurial studies.2020. pp. 1-9.
- José L, Almeida R, Rodríguez A, Castro W, Pico M y Rendón M, Mucocele apendicular, Federación Ecuatoriana de Radiología e Imagen. 2018.pp. 45-49.
- Wolniczak L, Cáceres A y Santillana J, Adenocarcinoma mucinoso del apéndice. Reporte de un caso.2016. SCIELO, pp. 169-171.
- Ángeles D, Guerrero E, Turrent R y Álvarez S, Cistoadenoma mucinoso de apéndice. Presentación de un caso. 2013. Medigraphic, pp. 78-81.
- Pilco P, Beltrán S y López M, Cistoadenocarcinoma mucinoso de apéndice cecal .2015. Revista Chilena de Cirugía, pp. 319-322.
- Motoya I, Macías L, León R y Yépez D, Apendicular cystic dilatation. Case report.2017. SCIELO, pp. 107-113.
- Zinner M y Ashley S, Maingot Operaciones Abdominales. 2008. décimoprimera edición, México: McGrawHill.
- McGory ML, Maggard MA, Kang H, et al.: Malignancies of the appendix: Beyond case reports.2005. DisColon Rectum 48:2264-2271.
Cómo citar el presente artículo:
Muñoz R, Benavides C, Guerrero R. Tumor mucinoso apendicular en edad adulta mayor. Reporte de caso. Indexia. Agosto 2021.
Todos los artículos se publican bajo la licencia Creative Commons Atribución 4.0 Internacional (CC-BY 4.0), lo que permite compartir y adaptar el contenido siempre que se dé el crédito adecuado a los autores y a la revista.