REPORTE DE CASO
Linfoma de Hodgkin clásico celularidad-mixta
Classical Hodgkin's lymphoma mixed cellularity
Heidy Doménica Jiménez Uyaguari 1 A; Daniel Alejandro Aldaz Correa 2 B
1. 2. Hospital General Isidro Ayora de Loja, Ecuador
Palabras Clave: Proceso linfoproliferativo, microambiente inflamatorio
Keywords: Early attachment, Newborn, Breastfeeding
Fecha recepción: 01-12-2024
Fecha aceptación: 11-01-2025
Fecha publicación: 20-02-2025
DOI: 10.65183/revind.e13.01
Resumen
El linfoma de Hodgkin de celularidad mixta es un subtipo del linfoma de Hodgkin clásico (20-25% de casos), caracterizado por células de Reed-Sternberg en un ambiente inflamatorio mixto. Se presenta con adenopatías indoloras y síntomas B (fiebre, sudoración nocturna, pérdida de peso) (1). El diagnóstico se confirma por biopsia, con marcadores CD30 y CD15 positivos. El tratamiento principal es quimioterapia ABVD, (Doxorrubicina, Bleomicina, Vincristina y Dacarbazina) con pronóstico favorable y tasas de curación superiores al 80%. El paciente que presentamos es del sexo masculino de 8 años de edad con masa cervical y pérdida de peso, clasificada según escala para estadiaje de Ann Arbor en Linfoma de Hodgkin tipo III B. Se decidió el tratamiento con base a algoritmo específico.
Abstract
Mixed cellularity Hodgkin lymphoma is a subtype of classical Hodgkin lymphoma (20-25% of cases), characterized by Reed-Sternberg cells in a mixed inflammatory environment. It presents with painless adenopathies and B symptoms (fever, night sweats, weight loss). Diagnosis is confirmed by biopsy, with positive CD30 and CD15 markers. The main treatment is ABVD (Doxorubicin, Bleomycin, Vincristine y Dacarbazine) chemotherapy, with favorable prognosis and cure rates above 80%. The patient we present is an 8-year-old male with cervical mass and weight loss, classified according to Ann Arbor staging scale as Hodgkin Lymphoma type IIB. This treatment was decided based on a specific algorithm.
Introducción
El linfoma de Hodgkin de celularidad mixta se caracteriza por células de Reed-Sternberg derivadas de linfocitos B anormales, rodeadas de un microambiente inflamatorio rico en linfocitos, histiocitos y eosinófilos. La disfunción inmunitaria, especialmente la supresión de la respuesta de linfocitos T, permite la evasión tumoral. Factores genéticos como mutaciones en NF-κB y la asociación con el virus de Epstein-Barr contribuyen a la proliferación y supervivencia celular, favoreciendo la progresión de la enfermedad (2). La presentación clínica típica incluye linfadenopatías indoloras, principalmente en región cervical y supraclavicular, acompañadas frecuentemente de síntomas B (fiebre, sudoración nocturna y pérdida de peso); el abordaje inicial de la enfermedad depende sobre todo del criterio clínico e histopatológico (3).
Caso clínico
Motivo de consulta
Pediátrico de 8 años de edad con alza térmica más presencia de masa cervical
Antecedentes personales
- Hospitalización por hiperbilirrubinemia al mes de edad
- Bronquiolitis a los 2 años de edad, hospitalizado por 5 días.
- Hospitalizado el (27/03/2024) por presentar linfadenitis tratada con antibióticos y biopsia excisional.
- Cirugía de mamelón de la oreja izquierda y frenillo sublingual a los 3 años de edad.
- Biopsia de adenopatías cervicales
Enfermedad actual:
Escolar masculino de 8 años de edad, es traído por su madre quien refiere que hace aproximadamente dos semanas a su ingreso, y teniendo como causa aparente esfuerzo físico, presenta masa en región cervical derecha, simétrica, fija, superficial, de bordes regulares, de consistencia dura, de 5 cm de diámetro aproximadamente, sin eritema en piel local. Concomitante al cuadro, pérdida de peso de 3kg en 4 semanas, diaforesis y alza térmica nocturna, no cuantificada, ocasional. Razón por la cual acude.
Signo vitales y exploración física
- FC:100 lpm
- FR: 22 rpm
- Temperatura: 38.5°C
- Sat: 95 % con FiO2 al 21%
- Peso: 21.5 kg
- Cabeza: normocefálica
- Ojos: pupilas isocóricas, reactivas a la luz, reflejo de acomodación conservado
- Oídos: conducto auditivo externo permeable
- Nariz: fosas nasales no congestivas
- Boca: mucosas orales semihúmedas
- Orofaringe: no eritematosa
- Cuello: masa en región cervical derecha, simétrica, fija, superficial, de bordes regulares, de consistencia dura, de 2-3cm de diámetro aproximadamente, sin eritema en piel local, doloroso a la palpación superficial y profunda, a nivel lateral izquierdo múltiples nodulaciones.
- Axilas: adenopatías bilaterales palpables.
- Corazón: rítmico, R1 y R2 normofonético, 100 lpm, no se auscultan soplos.
- Pulmón: murmullo alveolar conservado, entrada de aire normal, no se escuchan ruidos sobreañadidos
- Abdomen: a la inspección abdomen de características normales, RHA presentes normales, abdomen blando, no doloroso a la palpación superficial y profunda, a la percusión presenta timpanismo generalizado.
- Región inguinal: presencia de ganglios inguinales bilaterales palpables.
- Genitales: no explorados.
- Fuerza y tono conservados: escala de Daniels: 5/5. no se evidencia edema, pulsos distales presentes, reflejos: presentes.
Pruebas complementarias

Tabla 1: Elaboración: Aldaz y Jiménez; Fuente: Laboratorio Hospital General Isidro Ayora de Loja.
Informe medulograma/conteo en 500 células

Imagen 1: Informe medulograma.
Sitio de punción: esternón
Conclusión: Médula ósea normocelular acorde a edad, no se evidencia infiltración medular, ni células neoplásicas.
Pruebas complementarias
Radiografía de tórax

Imagen 2: Radiografía de tórax AP, posición única.
Dentro de parámetros normales
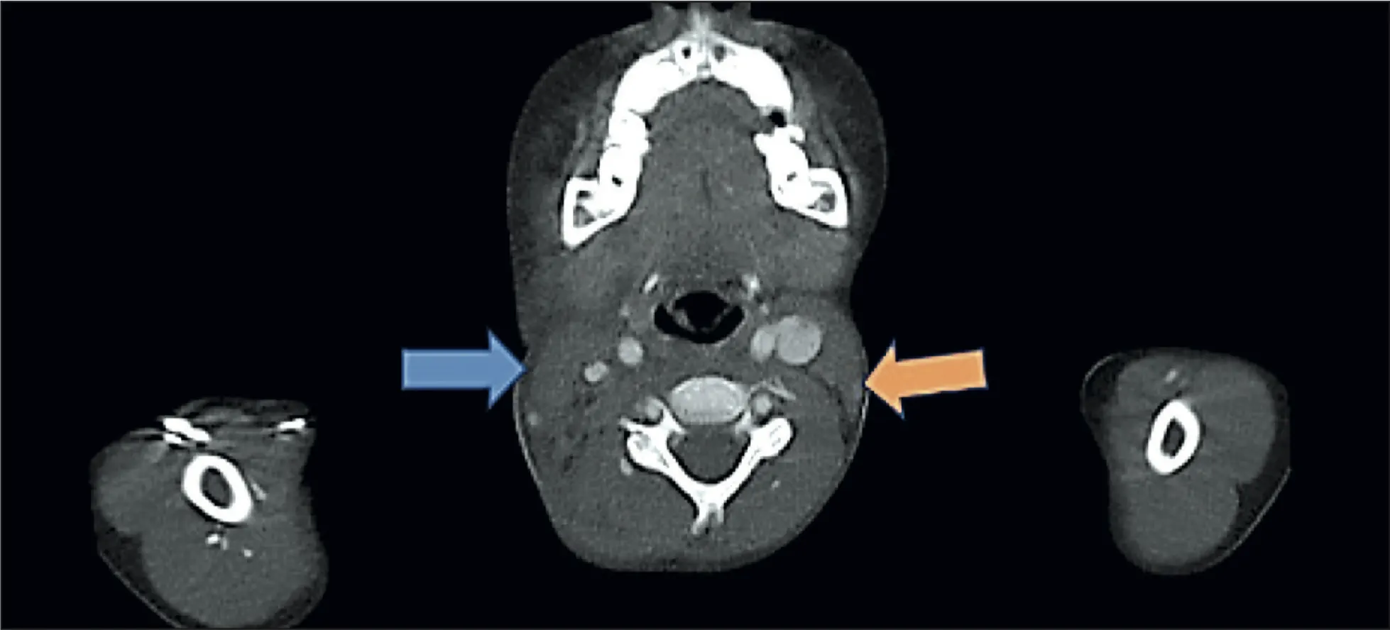
Tomografía de cuello, tórax, abdomen y pelvis

Imagen 3: Tomografía de cuello

Imagen 4: Tomografía de tórax, corte 1.

Imagen 5: Tomografía de tórax, corte 2.

Imagen 6: Tomografía de abdomen, corte 1.

Imagen 7: Tomografía de pelvis, corte 1.

Conglomerado ganglionar en hemicuello derecho que realza con contraste de forma heterogénea, impresiona infiltrar la parótida y esternocleidomastoideo de lado derecha, impresiona comprometer niveles ii, iii y iv derechos.
En lado izquierdo se evidencia adenopatías más visibles en nivel iii y iv
Adenopatías a nivel axilar bilateral y mediastino anterior y superior, impresiona masa mediastinal anterior
Adenopatías a nivel inguinal derecho
Examen histológico e histopatológico: técnicas histológicas. H-768-24
Región cervical-biopsia
Sospechoso para células malignas.
Ganglio linfático que muestra pérdida de la anatomía con proliferación de linfocitos medianos y pequeños, hendidos y no hendidos que infiltran la cápsula, escasos leucocitos polimorfonucleares neutrófilos y células plasmáticas, abundantes mitosis, no se observa necrosis ni presencia de células gigantes se sugiere realizar examen de inmunohistoquímica para completar estudio y confirmar diagnóstico
Histopatológico:

Imagen 8: Examen histológico de tejido de región cervical.
Examen macroscópico
Se recibe bloque signado 768-24, del cual se obtienen cortes que se tiñen con Hematoxilina-Eosina (HE), para su revisión histológica.
Examen microscópico:
En los cortes histológicos de estudio externo correspondiente a biopsia de ganglio linfático cervical, se observa alteración total en la arquitectura normal, no se observa preservación de folículos linfoides, presencia de células neoplásicas, de mediano a gran tamaño con escaso citoplasma, núcleo irregular, cromatina dispersa y nucleolo visible, se acompaña de infiltrado inflamatorio mixto, compuesto por linfocitos, eosinófilos, neutrófilos, enmarcados en delgados tabiques fibrosos, con alta actividad mitótica, además, presencia generalizada de múltiples grupos de apariencia histiocitaria inmersos en remanentes de tejido linfoide.

Imagen 9: Examen microscópico, tinción de HE_Celularidad variable, histiocitos, linfocitos, eosinófilos y células plasmáticas. Presencia de célula de Reed Sternberg.

Imagen 10: Examen microscópico, CD68_Positivo, disperso. Destaca el componente histiocítico.

Imagen 11: Examen microscópico, CD30_Positivo. En células Reed Sternberg.

Imagen 12: Examen microscópico, CD15_Positivo tenue.
Diagnóstico patológico:
Ganglio cervical-biopsia
Hallazgos histológicos y de inmunohistoquímica compatibles con Linfoma Hodgkin Clásico Celularidad Mixta
CD 34: positiva, revela escasas precursoras; control de calidad: funcional
CD20-células B: negativa; control de calidad: funcional.
Con los datos clínicos y de laboratorio expuestos, se diagnostica al paciente con Linfoma Hodgkin Clásico Celularidad Mixta, utilizamos la clasificación de Ann Arbor, para estadiaje, clasificándola como tipo III B.
Paciente fue referido a SOLCA (Sociedad de Lucha contra el Cáncer) para tratamiento y manejo integral con quimioterapia: Bleomicina; Doxorrubicina; Vincristina; Dacarbazina.
Discusión
El linfoma de Hodgkin clásico de celularidad mixta, observado en este caso pediátrico, se caracteriza por la presencia de células de Reed-Sternberg en un entorno inflamatorio mixto y suele estar asociado a factores virales (como el virus de Epstein-Barr) y alteraciones genéticas (4). En este paciente, los síntomas iniciales incluyeron masa cervical y pérdida de peso, junto con fiebre nocturna. Estos signos, comunes en el linfoma de Hodgkin, resaltan la importancia de una evaluación exhaustiva mediante biopsia de ganglio linfático y pruebas inmunohistoquímicas (CD30 y CD15), necesarias para diferenciar este linfoma de otras patologías linfoproliferativas y establecer un diagnóstico certero.
El tratamiento del linfoma de Hodgkin en etapas avanzadas, como en este caso (III B), se basa principalmente en quimioterapia con el esquema ABVD, que ha mostrado altas tasas de eficacia, superando el 80% de curación en pacientes pediátricos. Este protocolo incluye medicamentos como la doxorrubicina, bleomicina, vinblastina y dacarbazina (5).

Imagen 13: Estadificación y grupos de riesgo en el Linfoma de Hodgkin
Fuente: Recuperado de EuroNet-PHL-C2
El tratamiento se instaura, en base al siguiente algoritmo:

Imagen 14: Esquema de tratamiento del Linfoma de Hodgkin clásico, según propuesta EuroNet-PHL-C2
Fuente: Recuperado de EuroNetPHL
A pesar del pronóstico favorable, el seguimiento riguroso en centros especializados es crucial para detectar posibles recidivas y monitorizar efectos adversos a largo plazo del tratamiento, asegurando una vigilancia integral que contribuya a la calidad de vida del paciente y minimice complicaciones posteriores (6).
Conclusiones
El caso presentado representa un ejemplo típico de Linfoma de Hodgkin Clásico de Celularidad Mixta en población pediátrica, evidenciando la importancia del diagnóstico temprano basado en la presentación clínica característica (masa cervical, síntomas B) y confirmado mediante estudios histopatológicos e inmunohistoquímicos. La clasificación del caso como estadio IIIB según la escala de Ann Arbor permitió establecer un protocolo de tratamiento específico y adecuado.
El abordaje diagnóstico multidisciplinario, que incluyó estudios de imagen (tomografía), análisis de laboratorio y biopsia con inmunohistoquímica, fue fundamental para establecer tanto el diagnóstico definitivo como el estadiaje de la enfermedad. Este enfoque integral permitió descartar otras patologías linfoproliferativas y determinar la extensión exacta de la enfermedad, aspectos cruciales para la selección del tratamiento apropiado.
Los protocolos actuales de tratamiento para el Linfoma de Hodgkin de Celularidad Mixta, basados en el esquema ABVD (Bleomicina, Doxorrubicina, Vincristina, Dacarbazina), han demostrado una alta efectividad con tasas de curación superiores al 80% en pacientes pediátricos. La derivación del paciente a un centro especializado como SOLCA (Sociedad de Lucha contra el Cáncer) para su manejo integral refleja la importancia de un tratamiento especializado y un seguimiento adecuado para optimizar los resultados terapéuticos.
Referencias
Connors JM. State-of-the-art therapeutics: Hodgkin’s lymphoma. J Clin Oncol. 2005;23(26):6400-8. doi: 10.1200/JCO.2005.05.254.
Hasenclever D, Diehl V. A prognostic score for advanced Hodgkin’s disease. N Engl J Med. 1998;339(21):1506-14. doi: 10.1056/NEJM199811193392104.
Greaves P, Gribben JG. The role of B cells in Hodgkin’s lymphoma. Nat Rev Cancer. 2013;13(2):105-15. doi: 10.1038/nrc3448.
Armitage JO. Early-stage Hodgkin’s lymphoma. N Engl J Med. 2010;363(7):653-62. doi: 10.1056/NEJMra1003733.
Shanbhag S, Ambinder RF. Hodgkin lymphoma: A review and update on recent progress. CA Cancer J Clin. 2018;68(2):116-32. doi: 10.3322/caac.21438.
Canellos GP, Rosenberg SA, Friedberg JW, Lister TA, DeVita VT Jr. Treatment of Hodgkin lymphoma: a 50-year perspective. J Clin Oncol. 2014;32(3):163-8. doi: 10.1200/JCO.2013.53.1224.
EuroNet-PHL-C1 Study Group. Treatment of pediatric Hodgkin’s lymphoma: EuroNet-PHL-C1 trial and results. Leukemia. 2019;33(7):1737-43. doi: 10.1038/s41375-019-0414-y.
Cómo citar el presente artículo:
Jiménez H, Aldaz D. Linfoma de Hodgkin clásico celularidad-mixta. Reporte de caso. Indexia. Abril 2025.
Todos los artículos se publican bajo la licencia Creative Commons Atribución 4.0 Internacional (CC-BY 4.0), lo que permite compartir y adaptar el contenido siempre que se dé el crédito adecuado a los autores y a la revista.