REPORTE DE CASO
Remisión completa metabólica en cáncer de mama metastásico, con receptor del factor de crecimiento epidérmico (Her2-neu) positivo, tras manejo con trastuzumab, pertuzumab y quimioterapia
Complete metabolic remission in metastatic breast cancer, with epidermal growth factor receptor (Her2-neu) positive, after treatment with trastuzumab, pertuzumab and chemotherapy
Raúl Arturo Pineda Ochoa 1A; Talia Isadora Pineda Valarezo 2B
Médico tratante cancerólogo, Clínica Hospital San Agustín, Loja, Ecuador
Alumna de la Escuela de Medicina, Universidad San Francisco de Quito, Ecuador
Palabras Clave: Neoplasias de la mama. Receptor del factor de crecimiento epidérmico humano (HER). Anticuerpos monoclonales
Keywords: Neoplasias de la mama. Receptor del factor de crecimiento epidérmico humano (HER). Anticuerpos monoclonales
Fecha recepción: 31-10-2025
Fecha aceptación: 20-02-2026
Fecha publicación: 06-03-2026
DOI: 10.65183/revind.e16.02
Resumen
El manejo sistémico de las pacientes con cáncer de mama metastásico se puede realizar con la utilización de citostáticos y la adición de anticuerpos monoclonales, cuando existe sobreexpresión del receptor del factor de crecimiento epidérmico humano (HER2neu), con una mejora sustancial de la sobrevida global y aumento del período libre de enfermedad. Se presenta el caso de una paciente en la cual se pudo mejorar su sobrevida y demostrar remisión completa metabólica con este tratamiento.
Abstract
El manejo sistémico de las pacientes con cáncer de mama metastásico se puede realizar con la utilización de citostáticos y la adición de anticuerpos monoclonales, cuando existe sobreexpresión del receptor del factor de crecimiento epidérmico humano (HER2neu), con una mejora sustancial de la sobrevida global y aumento del período libre de enfermedad. Se presenta el caso de una paciente en la cual se pudo mejorar su sobrevida y demostrar remisión completa metabólica con este tratamiento.
Introducción
En las pacientes con cáncer de mama, hay un grupo de entre el 25% al 30% que presentan sobreexpresión del gen del receptor del factor de crecimiento epidérmico humano (1, 2, 3); esto ocasiona la presencia de su proteína en grandes cantidades en las células malignas y genera una enfermedad muy agresiva con afectación importante en el pronóstico (4, 5, 6). Estudios de laboratorio en el ratón transgénico han demostrado que la sobreexpresión del gen HER en el epitelio mamario ocasiona enfermedad metastásica (7), y fueron los primeros hallazgos que orientaron hacia la terapia del cáncer de mama con anticuerpos monoclonales contra esta proteína.
El manejo del cáncer de mama metastásico ha cambiado la perspectiva de la oncología, con la administración, en aquellas pacientes HER2neu positivas, del anticuerpo específico trastuzumab, que, al impedir la señalización de HER2neu, inhibe la proliferación celular (8).
La publicación de los resultados del ensayo cleopatra (9) demostró la eficacia de una doble inhibición del HER2neu: un dominio con el trastuzumab y el dominio II de HER2neu con el pertuzumab, circunstancia que impide la dimerización y, por tanto, contribuye a un bloqueo del crecimiento tumoral, que se traduce en un aumento de la sobrevida global y la sobrevida libre de enfermedad con toxicidad manejable.
La dimerización del receptor de HER lleva a la fosforilación del dominio intracelular y genera las moléculas presentes en la cascada de señalización. Trastuzumab se une al subdominio IV de HER2 e inhibe su dimerización (11).
El tratamiento con trastuzumab disminuye la actividad de la tirosin quinasa AKT, que, a su vez, permite que la proteína quinasa p27 ingrese al núcleo y lleve a la detención del ciclo celular (12). La resistencia desarrollada por las células al trastuzumab se debe a que la dimerización ocurre con otras proteínas tales como HER3 (13, 14). Para vencer esa resistencia, se ha desarrollado el anticuerpo monoclonal humanizado recombinante pertuzumab, teniendo como su blanco el dominio II de HER (15), con lo cual dificulta la formación del heterodímero HER2:HER3 que lleva a una toxicidad mediada por anticuerpos y a la muerte celular (16).
Se utilizó este enfoque para tratar una paciente joven con cáncer de mama en recidiva, tanto a nivel local como a nivel sistémico visceral, HER2neu positivo. La respuesta a la terapia se evidenció inicialmente con disminución de la talla tumoral, lo que permitió realizar cirugía mamaria de salvataje, remisión total por imagen y luego respuesta completa metabólica con tomografía por emisión de positrones (PET).
Antecedentes
Se trata de una paciente de 30 años, de sexo femenino, residente en esa época en Madrid, quien, en el curso de su último embarazo, presentó un nódulo en la mama izquierda de carácter no doloroso y de crecimiento lento.
Se sometió a tratamiento con cirugía en el mes de mayo de 2007. El estudio histológico transoperatorio fue positivo para malignidad y reveló la presencia de un carcinoma ductal infiltrante de 25 mm de diámetro mayor, que llevó a realizar tratamiento quirúrgico de tipo conservador con cuadrantectomía y vaciamiento axilar ipsilateral. Se realizó estudio de ganglio centinela, el cual fue positivo, pero los ganglios del vaciamiento completo se mostraron negativos. Los estudios de extensión a distancia de la enfermedad fueron negativos, con receptores hormonales estrogénicos y progesterogénicos positivos y, además, HER2neu positivo. Estadio IIB por T2N1M0.
Tratamiento
Se sometió a tratamiento adyuvante con 4 ciclos de esquema AC (doxorubicina 60 mg/metro cuadrado y ciclofosfamida 600 mg/metro cuadrado) y 4 ciclos de Paclitaxel (175 mg/metro cuadrado).
De igual forma, recibió tratamiento con 18 dosis de trastuzumab, sin complicaciones de ninguna índole, y adyuvancia con radioterapia.
Adicionalmente se aplicó agonista LhRh de depósito y tamoxifen hasta el 3 de septiembre del año 2010. Todo este tratamiento fue realizado en Madrid-España.
Vigilancia
En el curso de su vigilancia y control en nuestra ciudad, en el mes de junio del año 2013, manifestó una lesión de tipo quístico en la mama izquierda, la cual fue sometida a punción y estudio citológico, que resultó negativo para enfermedad maligna de la mama y, por tanto, continuó con tamoxifen. La paciente volvió a menstruar, evidenciando actividad hormonal, por lo cual se realizó histerectomía y salpingooforectomía bilateral en septiembre 2013.
En octubre del año 2013, acude a consulta con eversión del pezón de la mama izquierda, urencia, engrosamiento y entumecimiento de toda la mama remanente.
La resonancia magnética realizada muestra distorsión del parénquima mamario compatible con recidiva. La mama izquierda es de menor tamaño y muestra alteración importante de su morfología con engrosamiento de la piel y presencia de masa irregular espiculada, proyectando las mismas hacia el músculo pectoral, el cual está retraído e infiltrado. El estudio dinámico determina la existencia de lesiones patológicas con cambios en la captación del contraste en la mama izquierda.
Se realiza biopsia de nódulo de cuadrante superoexterno de la mama izquierda, cuyo informe de patología revela lo siguiente:
En el nódulo de la mama izquierda. Dos fragmentos laminares irregulares de tejido de consistencia firme de color blanco gris miden en promedio 15 x 10 x 3 a 5 mm de espesor; se acompaña de tejido adiposo que mide 3 x 2 x 1 cm.
En el tejido de región axilar izquierda. Tejido adiposo que mide 1.5 x 1 cm.
1: Biopsia incisional de «nódulo de la mama izquierda”: Carcinoma lobulillar in situ e infiltrante
2: Biopsia excisional de “tejido de región axilar izquierda”: tejido adiposo.
No se repiten los estudios de inmunohistoquímica, pues se trataba de recidiva en la misma localización primaria previa y se dio por sentado que era una lesión HER2neu positiva.
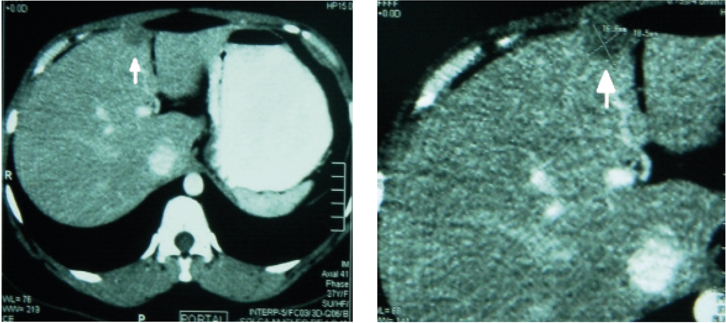
Se realizan estudios de extensión, donde se identifican estructuras internas normales en la tomografía de tórax, en el encéfalo y en el esqueleto. En la tomografía de abdomen, se detecta hígado de densidad heterogénea por presencia de imagen hipodensa de forma redondeada, con bordes definidos de 18.5 mm con 25 UH, que incrementa su densidad con el medio de contraste a 65 UH.
Se observa igualmente la presencia de un cálculo en el seno renal derecho.

Figura 1. Se aprecia la lesión hepática en tamaño normal y ampliado.
Se asume que se trata de un cuadro de cáncer de mama con recidiva locorregional severa y metástasis hepática.
Tratamiento
Con una biometría normal, las pruebas de la función renal y hepática igualmente, y niveles de CEA en 0,71 y de CA 15.3 en 7,2, se inicia tratamiento el 10/12/2013 con el siguiente esquema, previa evaluación de parámetros cardiológicos dentro de rango normal.
- Docetaxel 135 mg IV,
- Trastuzumab 625 mg IV, el primer ciclo, y 420 mg IV los subsiguientes
- Pertuzumab 840 mg IV, el primer ciclo, y 420 mg los ciclos subsecuentes
- Todo ello durante 7 ciclos.
Además, recibió exemestano 25 mg vía oral y bifosfonato parenteral en secuencia semestral.
Evaluación del tratamiento
La evaluación por imagen del 12 de mayo de 2014 muestra TAC de tórax negativa para actividad tumoral y TAC de abdomen con resolución completa del nódulo del parénquima hepático.

Figura 2. Se aprecia el hígado sano, sin la presencia del nódulo antes descrito.
Posteriormente se realiza terapia de mantenimiento con doble anticuerpo, exemestano y bifosfonato semestral.
Dada la excelente respuesta al tratamiento, se propone cirugía y se consigue realizar mastectomía de salvataje el día 21/12/2014, cuyo estudio histológico muestra remisión completa.
Luego la paciente recibió medicación de mantenimiento con doble anticuerpo a base de trastuzumab y pertuzumab, sin actividad tumoral evidente, y desarrollaba sus actividades cuotidianas con absoluta normalidad, sin restricción física ni emocional. Las evaluaciones de la función cardiovascular fueron siempre normales.
Una evaluación adicional realizada en abril de 2016 con PET no muestra actividad tumoral metabólica a nivel hepático y tampoco se evidencia actividad tumoral en ninguna otra parte del organismo confirmando la presencia de remisión completa metabólica en la paciente, como se aprecia en las imágenes.
La última dosis de pertuzumab la recibió en marzo de 2017, y la biometría del 16 de febrero de 2018 muestra hemoglobina en 14,5 gramos, glóbulos blancos en 6110, plaquetas en 228.000; las pruebas de la función hepática y renal son normales, salvo muy discreta elevación de AST y ALT, en relación con hígado graso. El CEA en 0,999 y el CA 15.3 en 8,31. El estado general de la paciente era excelente.
La gammagrafía ósea de septiembre de 2017 se revela positiva para metástasis óseas. A su esquema convencional de tratamiento, se incluyó bifosfonato IV con secuencia mensual.
A esa fecha, la sobrevida de la paciente era de 51 meses desde el inicio de la fase metastásica.
Posteriormente, la paciente presenta progresión tumoral y es tratada en forma secuencial con diversas líneas de tratamiento. Fallece en mayo de 2025.
Discusión
El cáncer de mama en fase metastásica se ha considerado una enfermedad mortal a corto plazo, incluso cuando se trata con la terapia (trastuzumab y docetaxel), el 50% progresan antes de los 12 meses y el 50% fallecen antes de los 37 meses (9). Sin embargo, los avances en el campo de la inmunoterapia oncológica permiten contar, en la terapia estándar, con mejoras en la sobrevida global media de 40.8 meses contra 56.5 meses en la terapia con doble anticuerpo, y una disminución del riesgo de muerte de 32% (10) frente a la terapia convencional.
En la práctica asistencial, hemos podido reproducir este tipo de resultados en forma individual y confirmarlo con respuesta completa de tipo metabólico, que indudablemente redundan en mejor calidad de vida, aumento de la sobrevida sin enfermedad y de la sobrevida global. La paciente objeto de este reporte tenía cáncer de mama en el embarazo, con enfermedad metastásica hepática y recidiva local en la mama izquierda; llegó a 44 meses de sobrevida libre de enfermedad (gammagrafía ósea positiva en septiembre 2017) hasta cuando estuvo en remisión completa, y realizaba sus actividades de la vida diaria en forma normal.
Desde el inicio de la fase metastásica en 2013 hasta su fallecimiento, la paciente vivió 11 años y medio.
En consecuencia, es menester plantear y ejecutar tratamientos con esquemas de alta evidencia. Asimismo, es importante mantener una buena disposición para acompañar a los pacientes y agotar todas las alternativas para aumentar su supervivencia. Incluso ante esta enfermedad incurable, se pueden observar respuestas alentadoras y de larga duración en cáncer de mama, en particular, en el cáncer de mama durante la gestación.

Figura 3. Imágenes de PET muestran el hígado sano, sin áreas de hipermetabolismo en su interior.
Referencias
- Coussens L, Yang-Feng TL, Liao YC, Chen E, Gray A, McGrath J, et al. Tyrosine kinase receptor with extensive homology to EGF receptor shares chromosomal location with neu oncogene. Science [Internet]. 1985;230(4730):1132–9. Disponible en: http://dx.doi.org/10.1126/science.2999974
- King CR, Kraus MH, Aaronson SA. Amplification of a novel v-erbB-related gene in a human mammary carcinoma. Science [Internet]. 1985;229(4717):974–6. Disponible en: http://dx.doi.org/10.1126/science.2992089
- Akiyama T, Sudo C, Ogawara H, Toyoshima K, Yamamoto T. The product of the human c-erbB-2 gene: a 185-kilodalton glycoprotein with tyrosine kinase activity. Science [Internet]. 1986;232(4758):1644–6. Disponible en: http://dx.doi.org/10.1126/science.3012781
- Slamon DJ, Clark GM, Wong SG, Levin WJ, Ullrich A, Mcguire WL. Human breast cancer: correlation of relapse and survival with amplification of the HER2-2/neu oncogene. Science1987. 1987;235:177–82.
- Slamon DJ, Godolphin W, Jones LA, Holt JA, Wong SG, Keith DE, et al. Studies of the HER-2/neu proto-oncogene in human breast and ovarian cancer. Science [Internet]. 1989;244(4905):707–12. Disponible en: http://dx.doi.org/10.1126/science.2470152
- Ravdin PM, Chamness GC. The c-erbB-2 proto-oncogene as a prognostic and predictive marker in breast cancer: a paradigm for the development of other macromolecular markers — a review. Gene. 1995;159:19–27.
- Guy CT, Webster MA, Schaller M, Parsons TJ, Cardiff RD, Muller WJ. Expression of the neu protooncogene in the mammary epithelium of transgenic mice induces metastatic disease. Proc Natl Acad Sci U S A [Internet]. 1992;89(22):10578–82. Disponible en: http://dx.doi.org/10.1073/pnas.89.22.10578
- Slamon DJ, Leyland-Jones B, Shak S, Fuchs H, Paton V, Bajamonde A, et al. Use of chemotherapy plus a monoclonal antibody against HER2 for metastatic breast cancer that overexpresses HER2. N Engl J Med [Internet]. 2001;344(11):783–92. Disponible en: http://dx.doi.org/10.1056/NEJM200103153441101
- Swain SM, Kim S-B, Cortés J, Ro J, Semiglazov V, Campone M, et al. Pertuzumab, trastuzumab, and docetaxel for HER2-positive metastatic breast cancer (CLEOPATRA study): overall survival results from a randomised, double-blind, placebo-controlled, phase 3 study. Lancet Oncol [Internet]. 2013;14(6):461–71. Disponible en: http://dx.doi.org/10.1016/S1470-2045(13)70130-X
- Swain SM, Ewer MS, Cortés J, Amadori D, Miles D, Knott A, et al. Cardiac tolerability of pertuzumab plus trastuzumab plus docetaxel in patients with HER2-positive metastatic breast cancer in CLEOPATRA: a randomized, double-blind, placebo-controlled phase III study. Oncologist [Internet]. 2013;18(3):257–64. Disponible en: http://dx.doi.org/10.1634/theoncologist.2012-0448
- Molina MA, Codony-Servat J, Albanell J, Rojo F, Arribas J, Baselga J. Trastuzumab (herceptin), a humanized anti-Her2 receptor monoclonal antibody, inhibits basal and activated Her2 ectodomain cleavage in breast cancer cells. Cancer Res. 2001;61(12):4744–9.
- Tokunaga E, Kimura Y, Oki E, Ueda N, Futatsugi M, Mashino K, et al. Akt is frequently activated in HER2/neu-positive breast cancers and associated with poor prognosis among hormone-treated patients. Int J Cancer [Internet]. 2006;118(2):284–9. Disponible en: http://dx.doi.org/10.1002/ijc.21358
- Baselga J, Swain SM. Novel anticancer targets: revisiting ERBB2 and discovering ERBB3. Nat Rev Cancer [Internet]. 2009;9(7):463–75. Disponible en: http://dx.doi.org/10.1038/nrc2656
- Agus DB, Akita RW, Fox WD, Lewis GD, Higgins B, Pisacane PI, et al. Targeting ligand-activated ErbB2 signaling inhibits breast and prostate tumor growth. Cancer Cell [Internet]. 2002;2(2):127–37. Disponible en: http://dx.doi.org/10.1016/s1535-6108(02)00097-1
- Franklin MC, Carey KD, Vajdos FF, Leahy DJ, de Vos AM, Sliwkowski MX. Insights into ErbB signaling from the structure of the ErbB2-pertuzumab complex. Cancer Cell [Internet]. 2004;5(4):317–28. Disponible en: http://dx.doi.org/10.1016/s1535-6108(04)00083-2
- Musolino A, Naldi N, Bortesi B. Immunoglobulin G fragment C receptor polymorphisms and clinical efficacy of trastuzumab-based therapy in patients with HER2/neu-positive metastatic breast cancer. J Clin Oncol. 2008;26(11):1789–96.
Cómo citar el presente artículo:
Pineda R, Pineda T. Remisión completa metabólica en cáncer de mama metastásico, con receptor del factor de crecimiento epidérmico (Her2-neu) positivo, tras manejo con trastuzumab, pertuzumab y quimioterapia. Reporte de caso. Indexia. Abril 2026.
Todos los artículos se publican bajo la licencia Creative Commons Atribución 4.0 Internacional (CC-BY 4.0), lo que permite compartir y adaptar el contenido siempre que se dé el crédito adecuado a los autores y a la revista.