REPORTE DE CASO
Angioma en penacho en pulpejo de dedo. Presentación de caso clínico en paciente adulto
Tufted angioma in finger pad. A case report in an adult patient
Lucía Ortega 1, Ana Arias 2
- Dermatóloga, Hospital Solca Loja, Loja, Ecuador
- Médico residente, Hospital Solca Loja, Loja, Ecuador
Palabras Clave: Angioma, angioma en penacho, tumor vascular, tumor benigno, angioma en el adulto.
Keywords: Angioma, tufted angioma, vascular tumor, benign
tumor, adult angioma.
Fecha recepción: 10-07-2022
Fecha aceptación: 04-08-2022
Fecha publicación: 23-08-2022
DOI: 10.65183/revind.e5.02
Resumen
El angioma en penacho es un tumor vascular benigno raro que usualmente se puede encontrar en la edad pediátrica, muy raramente se manifiesta en adultos, existen únicamente 21 casos documentados en este grupo etario. Se localiza generalmente en tronco y extremidades inferiores, su diagnóstico es por medio de la clínica y se confirma con el estudio histopatológico, su tratamiento es conservador y se realiza su exéresis por razones estéticas. Presentamos el caso de un paciente de 52 años que muestra una lesión angiomatosa en pulpejo de dedo índice de mano izquierda de 4 mm, se realiza exéresis recibiendo el diagnóstico por histopatología de angioma en penacho.
Abstract
Tufted angioma is a rare benign vascular tumor that can usually be found in pediatric age, very rarely manifests in adults, there are only 21 documented cases in this age group. It is usually located in the trunk and lower extremities, its diagnosis is based on clinical manifestations and is confirmed by histopathological study, its treatment is conservative and its excision is performed for aesthetic reasons. We present the case of a 52 year old patient who shows an angiomatous lesion in the thumb of the index finger of the left hand of 4 mm, exéresis is performed receiving the diagnosis by histopathology of angioma in tuft.
Introducción
Antiguamente conocido como angioblastoma de Nakagawa según la literatura japonesa, el angioma en penacho fue descrito en la literatura médica occidental por primera vez en 1989 por Wilson Jones y Orkin. Hasta el momento se han publicado aproximadamente 200 casos, aunque se supone que existen casos no publicados debido a que se diagnostican erróneamente como hemangioma congénito no involutivo (HCNI). Solo el 10% de las lesiones son casos congénitos, la mayoría de los casos son lesiones esporádicas en infantes menores de 5 años, aunque también se han documentado casos hasta los 14 años y ocasionalmente en adultos jóvenes. Su localización más frecuente es en tronco y extremidades inferiores, algunas veces en cuello y excepcionalmente en cara 1.
El angioma en penacho se muestra como una placa roja con bordes mal delimitados y puede contener pápulas rojas dispersas profundas, pueden ser sensibles a la palpación y dolorosas tras traumatismo de estas. En algunos casos, están cubiertos por vello o rodeados por un anillo de tejido más claro.
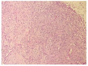
Su diagnóstico es principalmente histopatológico, donde se observa un patrón típico en balas de cañón mezclado con hendiduras circundantes y vasos linfáticos dilatados en el estroma mesenquimatoso.
Ocasionalmente, pueden presentar regresión espontánea o pueden tener un curso crónico y llegar a invadir músculo y hueso subyacente. El principal diagnóstico diferencial es el hemangioendotelioma kaposiforme, coincidiendo en que ambas pueden
desarrollar síndrome de Kasabach-Merritt (KMS) 2.
Nosotros reportamos el caso de un adulto de 52 años con angioma en penacho localizado en pulpejo del dedo índice izquierdo, siendo la edad de presentación inusual según la literatura médica.
Caso Clínico
Paciente de sexo masculino de 52 años, originario y residente de Loja-Ecuador, ingeniero comercial, con antecedentes patológicos personales: alérgico a ácido acetilsalicílico, colecistitis tratado con colecistectomía en el 2008, carcinoma de células claras de riñón tratado con nefrectomía total en el 2009, cáncer papilar de tiroides tratado con tiroidectomía total más disección ganglionar en el 2016 continuando con 150 MCI de yodo-131 en el 2017. Antecedentes patológicos familiares tía materna con cáncer de mama. Paciente acude al servicio de dermatología del hospital SOLCA-Loja en junio del 2022 por presentar lesión de coloración rojiza en pulpejo de dedo índice de mano izquierda de 20 días de evolución. Al examen físico piel de foto tipo IV, en dedo índice izquierdo neoformación angiomatosa de 4 mm de diámetro, rodeada por collarete descamativo y halo eritematoso. Con diagnóstico probable de hemangioma vs. granuloma telangiectásico, se realiza biopsia de la lesión. Obtenemos el reporte de histopatología con el siguiente comentario: hallazgos compatibles con angioma tufted/angioma en penacho. Se planteó diagnóstico diferencial con hemangioendotelioma kaposiforme, el cual representa una lesión histológicamente similar, pero con comportamiento más agresivo y localmente recurrente. El angioma tufted es más superficial, menos infiltrativo. Salvo mejor criterio médico, se sugiere exéresis completa de la lesión y vigilancia.

Figura 1.- Neoformación vascular en índice izquierdo.

Figura 2.– A mayor aumento neoformación angiomatosa con halo descamativo.

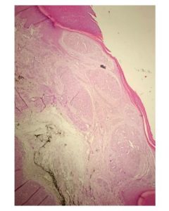
Figura 3.- Proliferación lobular de estructuras vasculares de pequeño diámetro.

Figura 4.- Estructuras vasculares asociadas a células ovoides fusiformes de núcleos agrandados con cromatina
vesicular abierta.

Figura 5.- Ligero infiltrado inflamatorio linfocitario perilesional y vasos linfáticos dilatados.
Discusión
El angioma en penacho, o tufted angioma en inglés, es una tumoración vascular benigna rara. Hasta el momento se han documentado aproximadamente 200 casos y la importancia de este caso que nos ocupa radica en que se han reportado únicamente 21 casos, de los que se saben, en adultos, encontrándose únicamente reportes de casos en literatura anglosajona, por lo que este sería de los pocos casos reportados en países latinos en revistas hispanohablantes.
El angioma en penacho es una lesión solitaria rara, de crecimiento vascular lento, con una morfología clínica variante que puede presentar desde una lesión de color rojo hasta violácea, y muy raramente de pápulas o placas azuladas. Se ha documentado que su tamaño es en promedio de 5 cm, pero podrían ser más grandes o pequeñas. Se ha asociado esta lesión con zonas de hipertricosis, sobre todo a manera de vello lanugoso y con hiperhidrosis localizada, la mayoría suelen ser asintomáticas, pero en algunas ocasiones pueden mostrar sensibilidad o dolor tras traumatismos, estos síntomas diferencian esta lesión de hemangiomas comunes. Pueden permanecer por años o presentar regresión espontánea.
Se localizan típicamente en cuello, tronco y extremidades, sin embargo, como podemos observar en la tabla 1, se han encontrado también en mucosa oral, párpados, retroauricular e incluso en ano.

Tabla 1: elaborada en base a información obtenida de Lee B, et.al
Conclusiones
Es una lesión benigna y no se han reportado transformaciones a malignidad, sin embargo, las lesiones pueden progresar hasta invadir tejido subcutáneo o incluso músculo y hueso adyacente; puede también progresar y asociarse con el síndrome de Kasabach-Merrit 6.
La mayoría de literaturas establecen que aproximadamente el 60-70% de angiomas en penacho aparecen antes de los 5 años, 25 %, antes del primer año de vida y menos del 10% se presenta después de los 50 años, su presencia en personas mayores de 60-80 años es excepcional 4. La literatura japonesa, por otro lado, reporta que el 50% de estos tumores aparecen antes de que los pacientes cumplan un año y de estos el 15% son lesiones congénitas.
La patogenia del angioma en penacho es desconocida, se cree que la secreción de factores de crecimiento, como IL-8, conocido por tener relevancia en la angiogénesis, influiría en el desarrollo de un gran número de vasos que se acumulan en forma de penacho. No se ha visto que los traumatismos tengan un papel en la aparición de esta lesión, sin embargo, se ha reportado un caso en donde se desarrolló un angioma en penacho sobre una previa mordedura de artrópodo 6.
El diagnóstico se realiza sobre todo mediante el estudio histopatológico, que es el gold estándar, para confirmar el angioma en penacho y para excluir otras malformaciones vasculares y tumores, siendo característica la presencia de células capilares
y endoteliales distribuidas en forma de “bolas de cañón”. En la infancia, el angioma en penacho se debe diferenciar del nevo en forma de fresa y del hemangioendotelioma de Kaposi y, en los adultos, el angioma en penacho debe diferenciarse del sarcoma de Kaposi y del angiosarcoma de bajo grado 5.
No se requieren estudios de laboratorio para el diagnóstico y tratamiento de esta lesión. Si se sospecha la asociación con el síndrome de Kasabach-Merrit, se debe realizar una determinación hematológica completa que incluya conteo de células rojas y plaquetas, tiempo de protrombina y tromboplastina.
No es necesario el uso de un tratamiento médico debido a su comportamiento benigno y a su progresión lenta, por lo que se emplea observación clínica. Por el momento, existen tratamientos cosméticos en donde se realiza la exéresis, para lo cual se
puede elegir entre láser de luz pulsátil, crioterapia o radioterapia. En caso de complicaciones, como el síndrome de Kasabach-Merritt, obstrucción de estructuras vitales, se pueden usar altas dosis de esteroides sistémicos o incluso inyecciones subcutáneas de interferón-α 4.
Referencias
- Pérez A, Peniche E. Angioma en penacho: a propósito de un caso congenito. [Online].; 2016. Disponible en: https://www.medigraphic.com/pdfs/imi/imi-2016/imi161b.pdf
- Orphanet. Angioma en penacho. [Online].; 2022. Disponible en: https://www.orpha.net/consor/cgi-bin/Disease_Search.php?lng=ES&data_id=3543
- Lee B, Chiu M, Soriano T, Craft N. Adult-Onset Tufted Angioma: A Case Report and Review of the Literature. [Online].; 2006. Disponible en: https://cdn.mdedge.com/files/s3fs-public/Document/September-2017/078050341.pdf
- Pesapane F, Nazzaro G, Alberti-Violetti S, Gianotti R. A case of acquired tufted angioma in adulthood. [Online].; 2015. Disponible en: https://www.scielo.br/j/abd/a/pvmpJLRqS4D8pkzQF9PY3yq/?lang=en
- Mittal R, Tripathy D. Tufted angioma (Angioblastoma) of eyelid in adults-report of two cases. [Online].; 2013. Disponible en: https://doi.org/10.1186/1746-1596-8-153
- Al-Sihan M. Deep Presentation of a Tufted Angioma in an Adult. [Online].; 2012. Disponible en: https://www.omicsonline.org/deep-presentation-of-a-tufted-angioma-in-an-adult-2161-119X.1000112.php?aid=6319
Cómo citar el presente artículo:
Ortega L, Arias A. Angioma en penacho en pulpejo de dedo.
Presentación de caso clínico en paciente adulto. Reporte de
caso. Indexia. Agosto 2022.
Todos los artículos se publican bajo la licencia Creative Commons Atribución 4.0 Internacional (CC-BY 4.0), lo que permite compartir y adaptar el contenido siempre que se dé el crédito adecuado a los autores y a la revista.